IL CASO DI ALBERTO (ORTODONZIA FISSA II CLASSE)
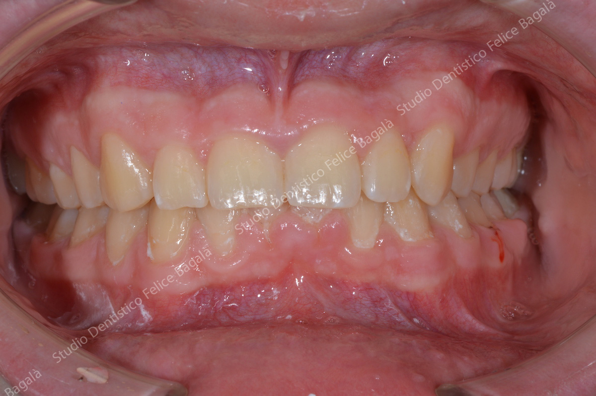
Caso di ortodonzia fissa classica di un paziente adolescente in seconda classe con morso profondo. Quindi sopravanzo della parte superiore che è più sporgente, mento labbro inferiore arretrato e contemporaneamente un approfondimento della chiusura sulla zona frontale. A denti chiusi, che “ingranano”(foto della bocca), non sono visibili gli incisivi inferiori, perché coperti dai superiori. Risoluzione in 20 mesi e come si può vedere una situazione completamente diversa. Molta pazienza da parte del nostro Alberto, che ha collaborato pienamente per la risoluzione del caso. Il premio è che dal momento in cui smontiamo tutto (e lui è un adolescente), andrà in giro portandosi dietro il miglior sorriso per il resto della sua vita. I nostri pazienti vengono comunque controllati durante gli anni futuri, in appuntamenti periodici che servono anche per l’attività periodica degli Igienisti.
