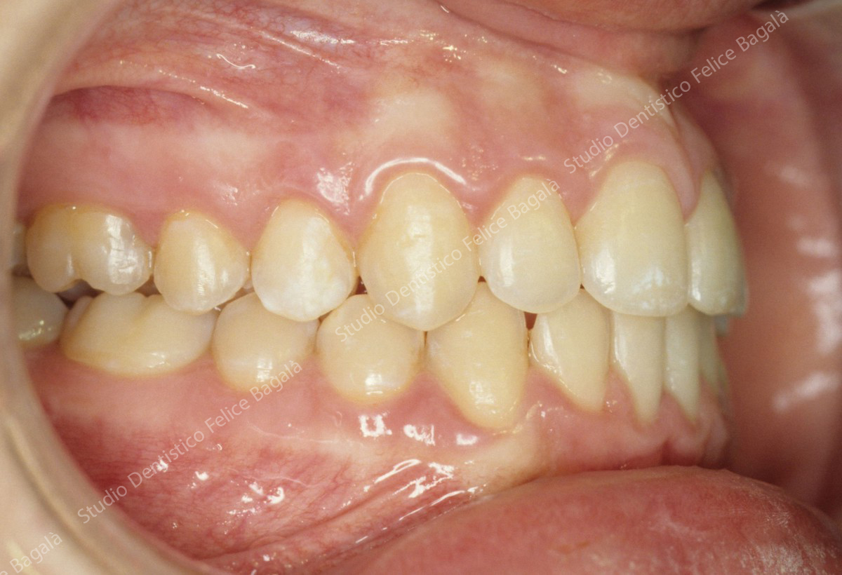
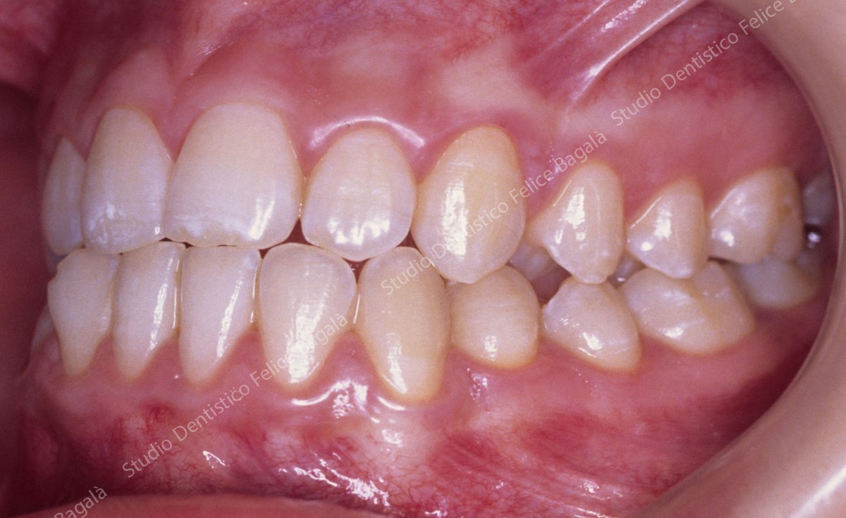
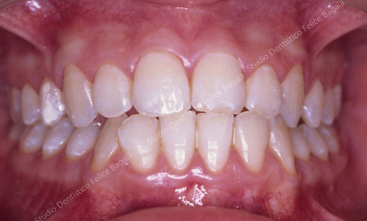
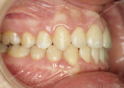
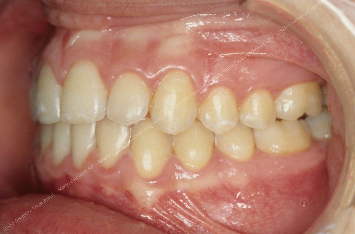
IL CASO DI CARLOTTA (ORTODONZIA III CLASSE)

Caso di IIIa classe di una adolescente, risolta con ortodonzia linguale “invisibile” in 10 mesi di terapia. L’apparecchio in questo caso era quindi fisso e posizionato sulla superficie interna dei denti. Ottima collaborazione e sorriso super.

Prima

Dopo