IL CASO DI CARLOTTA (ORTODONZIA INTERCETTIVA)
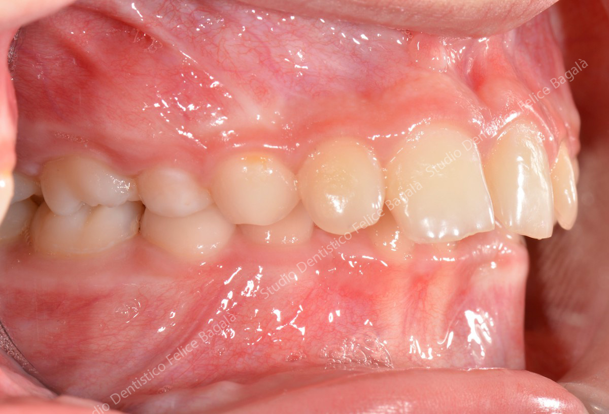
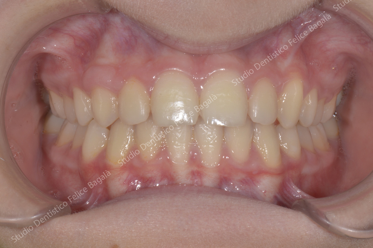
Carlotta è un caso di IIa classe da insufficiente crescita scheletrica del terzo inferiore del viso (mandibola e mento indietro). Apparentemente ad una osservazione delle foto della bocca ad inizio cura, sembrerebbe un avanzamento della parte superiore. In realtà si tratta del contrario. In sintesi una mandibola e un mento arretrati sul profilo ( vedi foto del profilo viso prima e dopo). INTERCETTATA in fase pre-sviluppo viene corretta stimolando la crescita dello scheletro mandibolare migliorando enormemente l’estetica del viso. Senza questa correzione avrebbe avuto un’inestetismo grave da adulta. Molto collaborante è stata premiata con un sorriso invidiabile.
