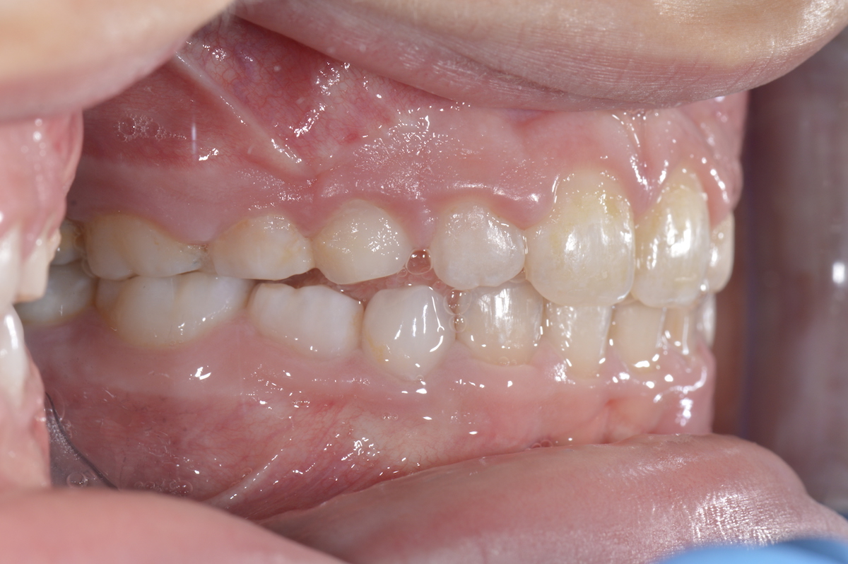
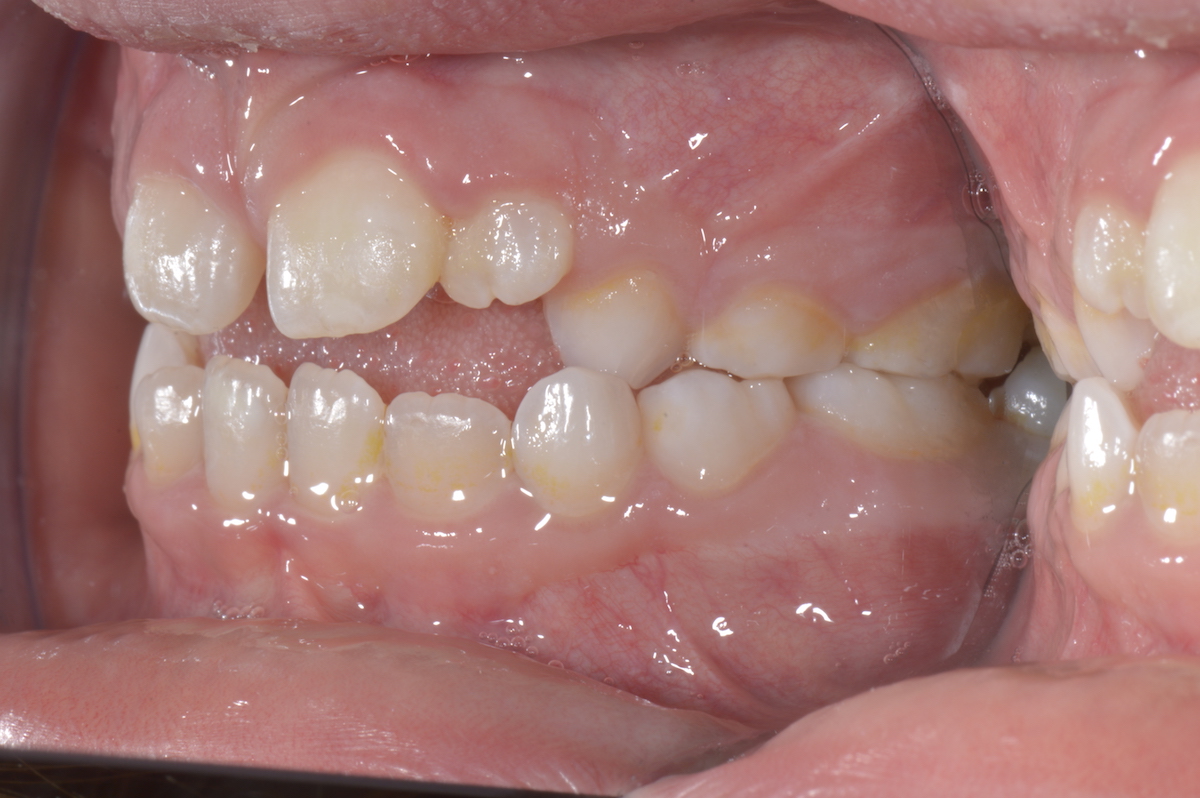
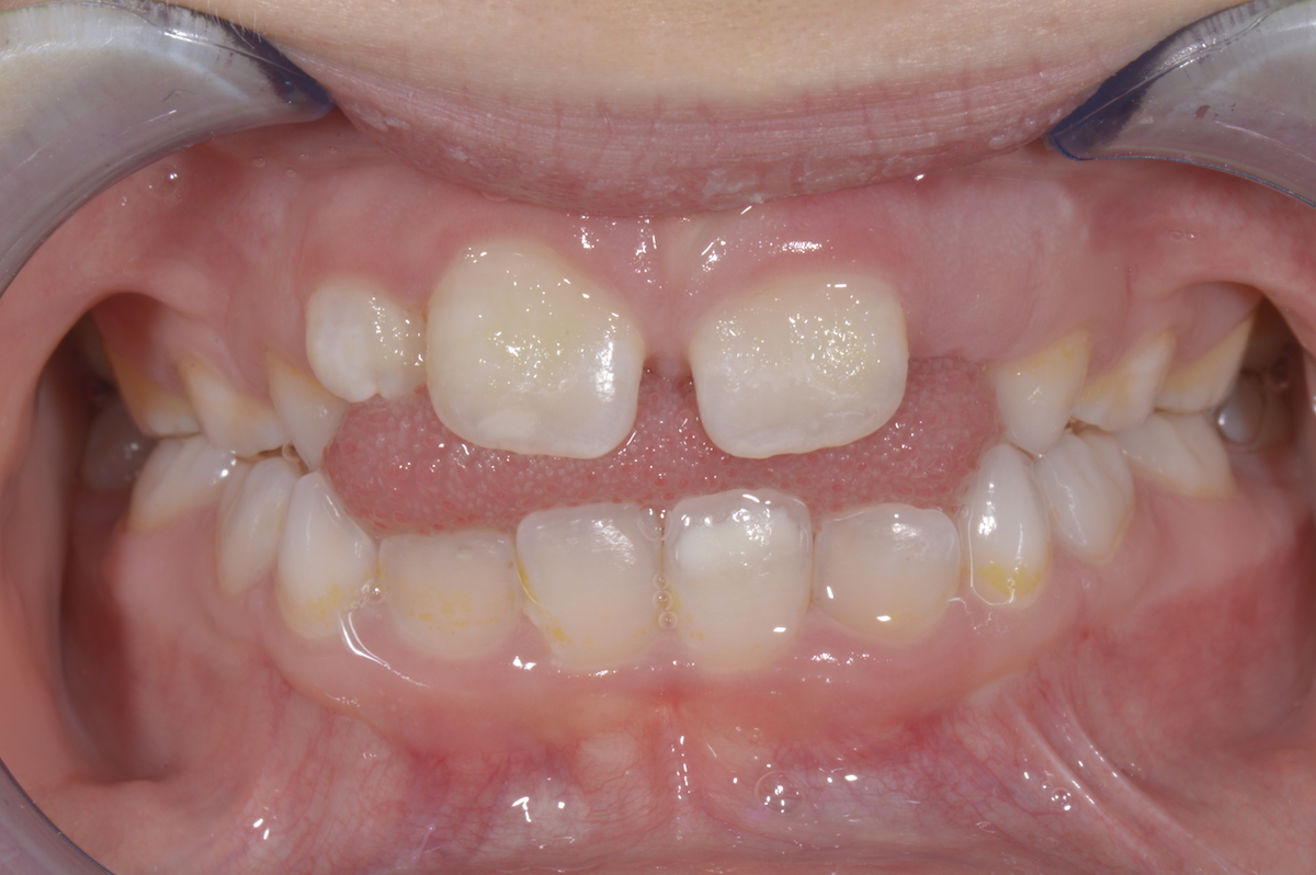
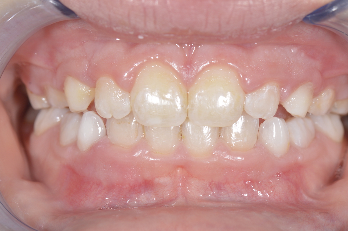
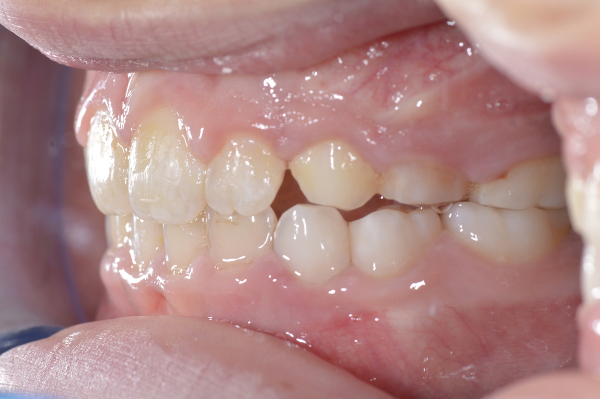
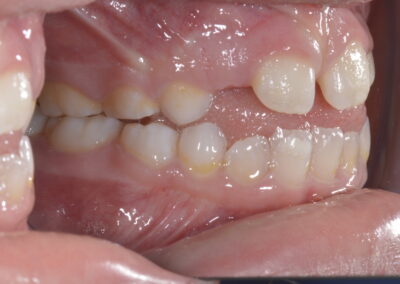
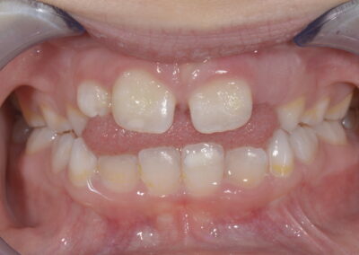
IL CASO DI FEDERICA (ORTODONZIA INTERCETTIVA)

Federica è il classico caso di Ortodonzia intercettiva. Morso aperto iniziale da interposizione linguale e palato stretto. A fine cura il morso anteriore si chiude con normale accavallamento dei denti incisivi e corretto allineamento.

Prima

Dopo