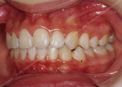
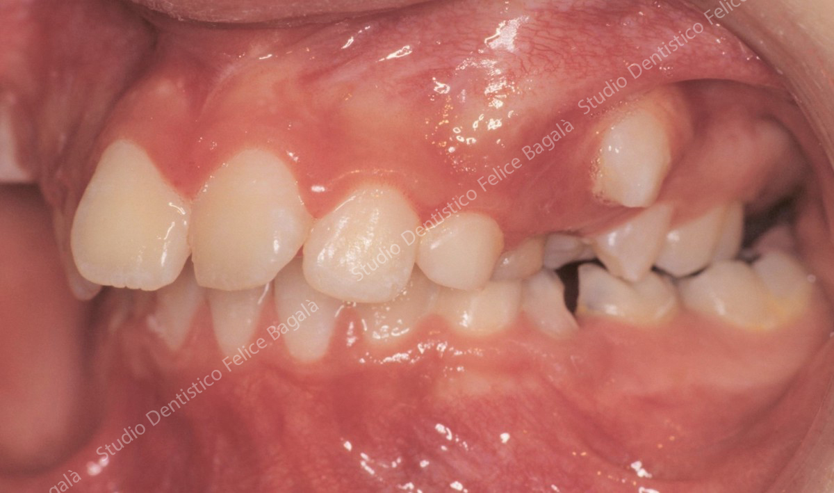
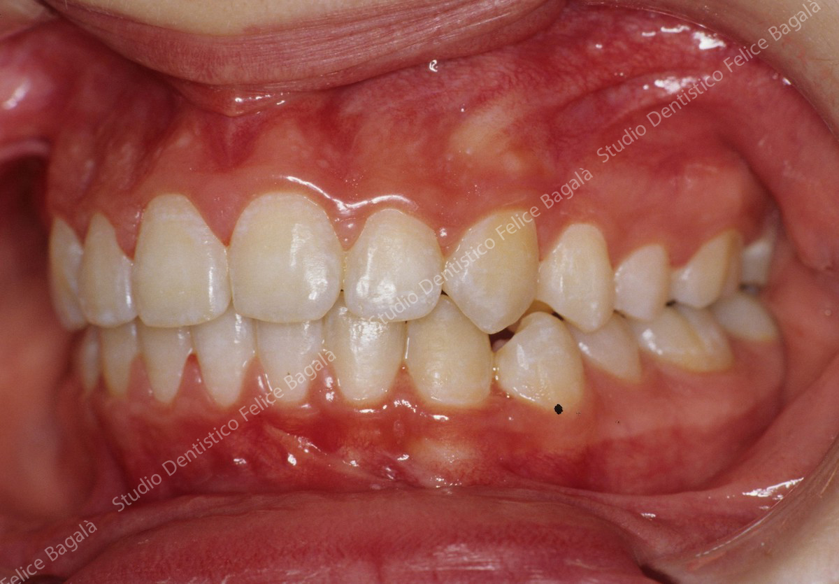
IL CASO DI GIORGIA (ORTODONZIA II CLASSE)

 con Paziente di 11 anni con grave IIa classe , carie multiple e affollamento dentario. Tempo di cura 20 mesi con apparecchiature mobili e fisse. Risoluzione completa.

Prima

Dopo