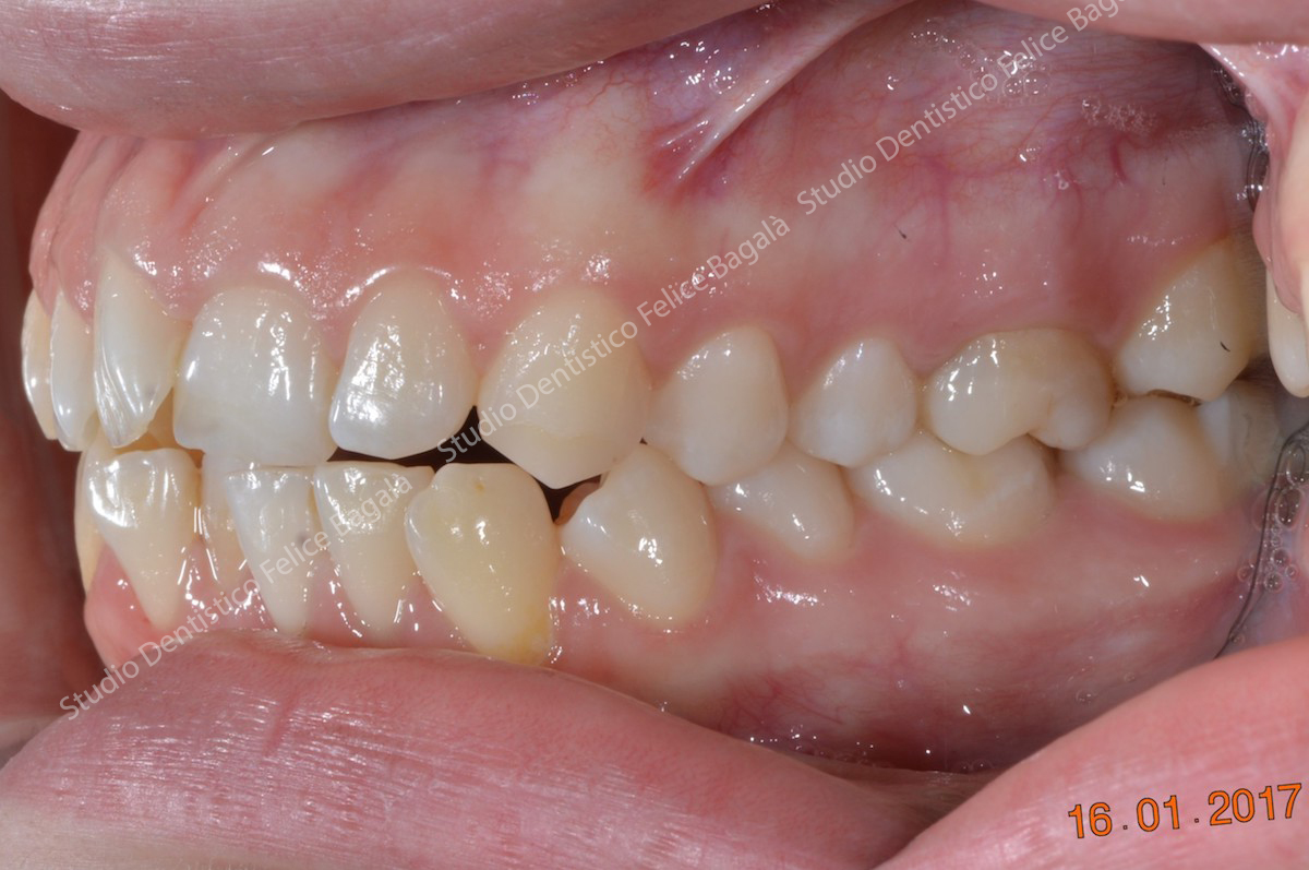
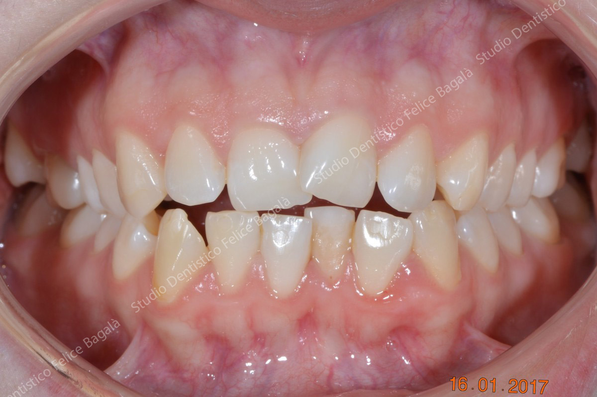
IL CASO DI NATALIA (ORTODONZIA FISSA)

Caso di donna adulta con “morso aperto”. A denti chiusi quelli  frontali non si contattano. E’ presente un certo grado di affollamento nelle zone anteriori incisive. La cura è stata eseguita con un  dispositivo fisso non visibile  di Ortodonzia linguale. Tempo di cura 24 mesi , con un risultato ottimo. Questo sorriso sarà mantenuto nel tempo grazie all’uso di “dispositivi di contenzione ” invisibili talvolta notturni.

Prima

Dopo